What Does Cancer Look Like on a CT Scan with Contrast? Causes and Risk Factors

Medical imaging has transformed the way doctors detect, diagnose, and monitor cancer. Among the most commonly used imaging techniques is the CT scan with contrast, a test that provides detailed cross-sectional images of the body’s internal structures. For patients and families facing cancer concerns, one of the most common questions is: what does cancer look like on a CT scan with contrast?

Understanding how cancer appears on imaging tests can help reduce fear and confusion while offering valuable insight into the diagnostic process. This article explores how CT scans with contrast highlight tumors, the differences between benign and malignant findings, and what patients should expect during and after the procedure.

Definition and Overview

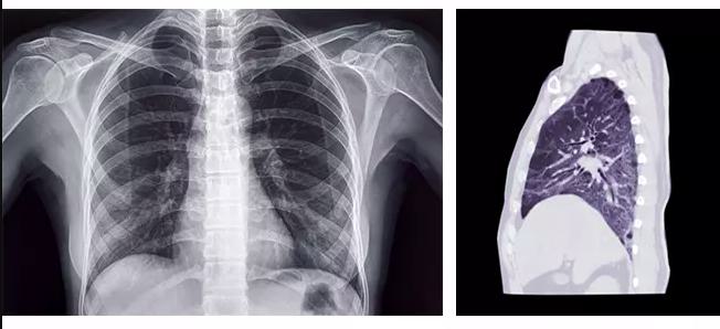
A CT scan (computed tomography scan) is an imaging test that uses X-rays and computer technology to produce detailed images of organs, tissues, and bones. When contrast dye is used—administered orally, intravenously, or both—it helps highlight abnormal areas by making them appear brighter or darker than surrounding tissues. On a CT scan with contrast, cancerous lesions often show up as irregularly shaped masses, sometimes with different densities compared to healthy tissue.

Types

Cancer may appear differently on CT scans depending on the type of tumor and its location.

  • Solid tumors: Appear as dense, irregular masses that may invade nearby tissues.
  • Cystic tumors: Contain fluid and may look like dark or hollow spaces.
  • Metastatic cancer: Often appears as multiple small lesions scattered throughout an organ such as the liver or lungs.
  • Calcified tumors: May show calcium deposits, which are seen as very bright spots.
Read more:  Can a CT Scan Detect Cancer? Causes and Risk Factors

Causes and Risk Factors

Cancer development is influenced by genetic, environmental, and lifestyle factors. Common risk factors include smoking, excessive alcohol use, poor diet, obesity, radiation exposure, family history, and certain infections like HPV or hepatitis. Understanding these risk factors is crucial because they can increase the likelihood of abnormal findings on a CT scan.

Symptoms and Early Warning Signs

While CT scans can reveal internal abnormalities, they are typically ordered after symptoms suggest a possible problem. Early warning signs may include:

  • Unexplained weight loss
  • Persistent pain or swelling
  • Chronic cough or difficulty breathing
  • Blood in urine or stool
  • Changes in bowel habits
  • Lumps that do not go away

Diagnosis

A CT scan with contrast is often one of the first steps in diagnosing cancer. Radiologists look for signs such as unusual shapes, sizes, or textures of organs and tissues. Contrast dye highlights blood vessels and tumor blood supply, making malignant growths easier to detect. In most cases, CT results are combined with other diagnostic methods such as MRI, PET scans, blood tests, and biopsy to confirm whether a mass is cancerous.

Treatment Options

Treatment depends on the cancer type, stage, and overall health of the patient. Common options include:

  • Surgery to remove the tumor
  • Chemotherapy to target cancer cells
  • Radiation therapy to shrink or destroy tumors
  • Targeted therapy and immunotherapy for precision treatment
  • Palliative care to manage symptoms and improve quality of life
Read more:  Cancer Antigen 15-3: Causes and Risk Factors

Prevention and Lifestyle Recommendations

While not all cancers can be prevented, healthy lifestyle choices can lower risk. Recommendations include avoiding tobacco, maintaining a balanced diet rich in fruits and vegetables, exercising regularly, limiting alcohol, and scheduling regular medical checkups. Early detection through imaging tests like CT scans with contrast can significantly improve survival outcomes.

Prognosis and Survival Rates

The prognosis for cancer varies widely depending on the type, stage, and how early it is detected. CT scans with contrast are vital for staging cancer, which directly affects survival rates. Generally, cancers detected early—before spreading to other organs—have better treatment outcomes. For example, localized lung or liver cancers are more treatable than advanced metastatic disease.

Latest Research and Innovations

Recent innovations in CT technology are improving the accuracy of cancer detection. Advanced imaging software, 3D reconstruction, and artificial intelligence now assist radiologists in identifying cancer earlier and more reliably. Additionally, research is ongoing into safer contrast agents and radiation-reduction techniques to minimize risks for patients undergoing repeated scans.

Coping and Support for Patients

A cancer diagnosis can be emotionally overwhelming. Patients benefit from psychological counseling, support groups, and open communication with healthcare teams. Family involvement, stress-reduction practices, and staying informed about treatment options all play a role in better coping with the challenges of cancer.

Conclusion

So, what does cancer look like on a CT scan with contrast? Typically, it appears as irregular, dense, or unusual masses that stand out from surrounding healthy tissues when highlighted by contrast dye. While CT scans are a powerful tool, they are just one part of a comprehensive diagnostic process that includes biopsies and other tests. Early detection through imaging, combined with timely treatment and lifestyle changes, can significantly improve patient outcomes.

Read more:  Feeling Tired All the Time Cancer: Causes and Risk Factors

FAQ

1. Can a CT scan with contrast detect all cancers?
Not always. Some cancers may be too small or located in areas where CT scans are less effective, requiring additional imaging tests.

2. How long does a CT scan with contrast take?
Most scans take 10–30 minutes, including preparation time for the contrast injection.

3. Are CT scans with contrast safe?
Generally, yes. However, some patients may experience allergic reactions or kidney issues related to contrast dye.

4. What does a cancerous tumor look like compared to a benign one on a CT scan?
Cancerous tumors often appear irregular, invasive, and with abnormal contrast uptake, while benign tumors are usually smooth and well-defined.

5. How often should CT scans be used for monitoring cancer?
Frequency depends on the cancer type, treatment plan, and doctor’s recommendations. Some patients may require scans every few months, while others only once a year.