Category Archives: Lung Cancer

Esophageal Cancer Spreads to The Lungs 2025

Stagescancer.net – Esophageal cancer is a malignant disease that affects the esophagus, the tube connecting the throat to the stomach. Unfortunately, in some cases, the cancer can spread or metastasize to other parts of the body, including the lungs. This advanced stage of esophageal cancer, called lung metastasis, presents unique challenges for patients and their healthcare providers.

In this article, we will delve into the implications of esophageal cancer spreading to the lungs. We will explore the common symptoms that may arise, the available treatment options, and the prognosis for patients facing this stage of the disease.

Recognizing the signs and symptoms of lung metastasis is crucial for early detection and prompt intervention. We will discuss the specific symptoms that may indicate the spread of esophageal cancer to the lungs and highlight the importance of regular monitoring by healthcare professionals.

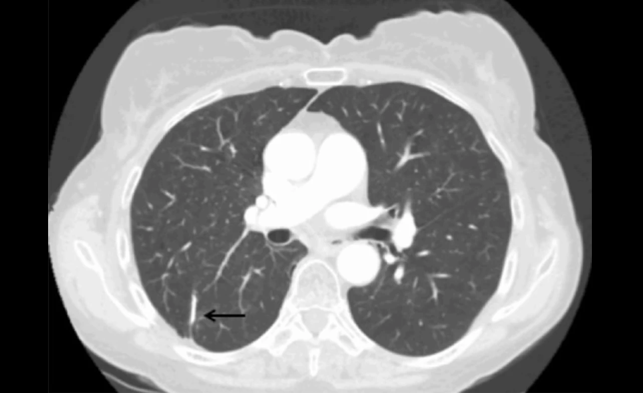
When lung metastasis is suspected, various diagnostic tests can help confirm the presence of cancer cells in the lungs. Imaging tests and biopsies are commonly used to identify and assess the extent of metastasis.

Effective treatment strategies for esophageal cancer with lung metastasis are essential in improving patient outcomes. In this article, we will explore the available treatment options, including surgery, chemotherapy, radiation therapy, targeted therapy, and immunotherapy.

Prioritizing the physical and emotional well-being of patients, we will also discuss the role of palliative care and supportive measures in managing esophageal cancer with lung metastasis. Additionally, we will guide lifestyle modifications and support networks that can positively impact patients’ overall quality of life.

To provide readers with a comprehensive understanding of the topic, we will highlight ongoing clinical trials and emerging therapies specifically focused on treating lung metastasis in patients with esophageal cancer. We will also address the emotional and psychological impact of the disease, offering coping strategies and resources for patients and their loved ones.

Finally, we will conclude this article by summarizing the key points discussed throughout, emphasizing the importance of early detection, the range of treatment options available, and the need for ongoing support for patients with esophageal cancer that has spread to the lungs.

Understanding Esophageal Cancer and Metastasis

Before exploring the spread of esophageal cancer to the lungs, it is crucial to have a comprehensive understanding of the disease itself and the process of metastasis. Esophageal cancer is a malignant tumor that originates in the esophagus, the muscular tube that connects the throat and stomach. It is characterized by abnormal cell growth that can invade nearby tissues and potentially spread to distant organs.

Metastasis refers to the process by which cancer cells break away from the primary tumor, enter the bloodstream or lymphatic system, and establish new tumors in distant parts of the body. The ability of cancer cells to metastasize is a significant factor in determining the stage and prognosis of esophageal cancer.

Esophageal cancer most commonly spreads to nearby lymph nodes, the liver, or the lungs. When it spreads to the lungs, it is known as lung metastasis. The lung is one of the most common sites for the spread of esophageal cancer, and this occurrence can significantly impact the course of treatment and overall prognosis.

Understanding the metastasis process is essential in the management and treatment of esophageal cancer patients. By comprehending how cancer cells spread from the primary site to distant organs like the lungs, healthcare professionals can develop targeted treatment strategies to improve patient outcomes.

Factors Affecting Esophageal Cancer Metastasis

Factors Description
Tumor Stage The extent of cancer growth within the esophagus and nearby tissues affects the likelihood of metastasis.
Lymph Node Involvement Cancer cells that have spread to nearby lymph nodes increase the risk of further metastasis.
Tumor Grade High-grade tumors, which are more aggressive and rapidly growing, have a higher chance of metastasis.
Lymphatic and Blood Vessel Invasion Esophageal tumors that have invaded lymphatic or blood vessels are more likely to metastasize.
Presence of Genetic Alterations Specific genetic mutations and alterations can increase the metastatic potential of esophageal cancer.

By studying these factors and understanding the metastasis process, researchers and healthcare professionals work towards developing more effective treatment strategies and improving patient outcomes in cases of esophageal cancer with lung metastasis.

Signs and Symptoms of Esophageal Cancer Spread to Lungs

Early detection plays a crucial role in effectively managing esophageal cancer that has spread to the lungs. Recognizing the signs and symptoms of lung metastasis in patients with esophageal cancer is essential for timely intervention and improved outcomes. Here are some common symptoms that may indicate the spread of esophageal cancer to the lungs:

  • Shortness of breath: Difficulty breathing or feeling short of breath, even during routine activities.
  • Chest pain: Persistent or worsening chest pain that may worsen with deep breathing or coughing.
  • Coughing: A persistent cough that doesn’t go away and may produce blood-tinged sputum.
  • Hoarseness: Changes in the voice, such as hoarseness or persistent throat irritation.
  • Unintentional weight loss: Significant weight loss without any apparent cause or changes in diet or exercise.
  • Fatigue: Feeling tired or weak, even with adequate rest and sleep.
  • Chest discomfort: Discomfort or pressure in the chest that may radiate to the back or shoulders.

If you experience any of these symptoms or have concerns about your health, it is important to consult with your healthcare provider for further evaluation.

Symptom Description
Shortness of breath Difficulty breathing or feeling short of breath, even during routine activities.
Chest pain Persistent or worsening chest pain that may worsen with deep breathing or coughing.
Coughing A persistent cough that doesn’t go away and may produce blood-tinged sputum.
Hoarseness Changes in the voice, such as hoarseness or persistent throat irritation.
Unintentional weight loss Significant weight loss without any apparent cause or changes in diet or exercise.
Fatigue Feeling tired or weak, even with adequate rest and sleep.
Chest discomfort Discomfort or pressure in the chest that may radiate to the back or shoulders.

It’s important to note that these symptoms can also be attributed to other conditions, and the presence of these symptoms does not necessarily mean that the cancer has spread to the lungs. However, if you are experiencing any of these symptoms, it is essential to discuss them with your healthcare provider for proper evaluation and diagnosis.

Diagnostic Tests for Identifying Lung Metastasis from Esophageal Cancer

When lung metastasis is suspected in patients with esophageal cancer, diagnostic tests play a critical role in confirming the spread to the lungs. These tests help healthcare professionals make an accurate diagnosis and formulate an appropriate treatment plan based on the extent of the metastasis. Let’s explore some of the commonly used diagnostic tools for identifying lung metastasis from esophageal cancer:

Imaging Tests

Imaging tests are typically the first step in evaluating lung metastasis. They allow doctors to visualize the lungs and identify any abnormal growths or masses. Common imaging tests used for this purpose include:

  • Chest X-ray: A simple and non-invasive test that produces images of the chest, including the lungs.
  • Computed Tomography (CT) scan: Provides detailed cross-sectional images of the lungs, enabling doctors to detect the presence of metastases.
  • Magnetic Resonance Imaging (MRI) scan: Uses powerful magnets and radio waves to create detailed images of the lungs, providing a more comprehensive view than a CT scan in certain cases.
  • Positron Emission Tomography (PET) scan: Helps identify areas of increased metabolic activity in the lungs, indicating the presence of cancer cells.

Biopsy

A biopsy is a procedure that involves the removal of a sample of lung tissue for examination under a microscope. It is crucial for confirming the presence of cancer cells in the lungs and determining their origin from esophageal cancer. There are different techniques used to perform a lung biopsy, including:

  • Needle biopsy: A thin needle is inserted through the chest wall or guided by imaging techniques to obtain a tissue sample from the lung.
  • Bronchoscopy: A flexible tube with a camera is inserted into the airways through the mouth or nose to collect tissue samples.
  • Thoracoscopy: A small incision is made in the chest wall, and a thin tube with a camera is inserted to visualize and obtain tissue samples from the lung.

These diagnostic tests, in combination with the patient’s medical history and physical examination, provide valuable information for healthcare professionals to accurately diagnose lung metastasis in patients with esophageal cancer. Early detection of lung metastasis is crucial for determining appropriate treatment options and improving overall outcomes for patients.

Treatment Options for Esophageal Cancer Spread to Lungs

When esophageal cancer spreads to the lungs, it necessitates a comprehensive treatment approach. Successful management of lung metastasis requires a combination of different treatment modalities, tailored to the individual patient’s condition. The available treatment options for esophageal cancer with lung metastasis include:

  1. Surgery: In select cases, surgical intervention may be considered to remove lung metastases caused by esophageal cancer. This approach aims to eliminate cancerous growths in the lungs and potentially improve the patient’s prognosis.
  2. Chemotherapy: Systemic chemotherapy is frequently utilized to treat esophageal cancer that has spread to the lungs. This treatment involves the administration of anti-cancer drugs to target and kill cancer cells throughout the body, including the lungs.
  3. Radiation Therapy: Radiation therapy utilizes high-energy beams to destroy cancer cells. It can be employed as a primary treatment to alleviate symptoms or as an adjuvant therapy alongside surgery or chemotherapy.
  4. Targeted Therapy: Targeted therapy is a precision medicine approach that targets specific genetic or molecular alterations in cancer cells. It aims to disrupt the growth and spread of cancer cells, with some targeted therapies showing promise in managing esophageal cancer with lung metastasis.
  5. Immunotherapy: Immunotherapy enhances the body’s immune system to recognize and destroy cancer cells. It has revolutionized cancer treatment and is being investigated as a potential option for patients with advanced esophageal cancer, including lung metastasis.

It is important to note that the choice of treatment options varies depending on several factors, such as the stage of esophageal cancer, the extent of lung metastasis, and the patient’s overall health. A multidisciplinary team of healthcare professionals, including oncologists, surgeons, and radiation oncologists, collaborates to develop an individualized treatment plan tailored to each patient’s needs.

Surgical Approaches for Lung Metastasis Removal in Esophageal Cancer Patients

For some patients with esophageal cancer that has spread to the lungs, surgical intervention may be recommended to remove the lung metastases. The goal of this surgical approach is to eliminate the cancerous growths in the lungs and potentially improve the patient’s prognosis. There are several surgical techniques used in these cases, each with its own benefits and considerations.

1. Wedge Resection:

Wedge resection involves removing the tumor and a small surrounding portion of healthy lung tissue. This procedure is suitable for patients with small metastatic lesions that are confined to a specific area of the lung. It is considered a less invasive option compared to other surgical approaches and may result in faster recovery times.

2. Segmentectomy:

In a segmentectomy procedure, a larger portion of the lung is removed along with the tumor. This technique is typically used when the metastatic lesions are larger or located in multiple segments of the lung. Segmentectomy preserves more lung function compared to a full lobectomy, which can be beneficial for patients with compromised lung function.

3. Lobectomy:

Lobectomy involves the removal of an entire lobe of the lung that contains the metastatic lesions. This procedure is commonly performed when the cancer has spread extensively within a specific lobe or if there are multiple metastatic sites within the same lobe. While lobectomy results in the removal of a larger portion of the lung, it offers the highest chance of complete tumor eradication.

4. Pneumonectomy:

In cases where the metastatic lesions are widespread throughout the lung or involve multiple lobes, a pneumonectomy may be necessary. Pneumonectomy involves the removal of the entire lung affected by the metastasis. This is the most extensive surgical procedure and is typically reserved for patients with advanced disease who can tolerate the removal of an entire lung.

After the surgical removal of lung metastases in esophageal cancer patients, follow-up treatments such as chemotherapy, radiation therapy, or targeted therapy may be recommended to target any remaining cancer cells. It is important for patients to discuss with their healthcare team the surgical approach that is most suitable for their specific case and to understand the potential risks and benefits involved.

Surgical Approach Patient Suitability Advantages Considerations
Wedge Resection Small metastatic lesions confined to a specific area of the lung Less invasive, faster recovery May not be suitable for larger or multiple metastatic lesions
Segmentectomy Large or multiple metastatic lesions involving several segments of the lung Preserves more lung function compared to lobectomy May still result in reduced lung function
Lobectomy Extensive metastatic spread within a specific lobe or multiple metastatic sites within the same lobe Highest chance of complete tumor eradication Removal of a larger portion of the lung
Pneumonectomy Widespread metastatic lesions throughout the lung or involving multiple lobes Complete removal of affected lung Loss of an entire lung

Chemotherapy and Radiation Therapy for Esophageal Cancer with Lung Metastasis

When esophageal cancer spreads to the lungs, it presents a significant challenge in terms of treatment and management. Chemotherapy and radiation therapy are two essential components of the therapeutic approach for patients with lung metastasis resulting from esophageal cancer. These treatments aim to control the disease, alleviate symptoms, and improve overall outcomes.

Chemotherapy for Lung Metastasis

Chemotherapy involves the administration of powerful drugs that target and destroy cancer cells. In the case of esophageal cancer with lung metastasis, chemotherapy plays a crucial role in reducing tumor size, slowing down cancer progression, and improving quality of life. Different chemotherapy regimens may be used, depending on the specific characteristics of the cancer and the patient’s overall health.

Chemotherapy drugs can be administered intravenously or orally, and they circulate throughout the body, targeting cancer cells both in the lungs and elsewhere. This systemic approach is particularly beneficial in cases of metastatic disease. However, chemotherapy does have the potential for side effects, such as fatigue, nausea, hair loss, and a weakened immune system. Close monitoring and supportive care are essential to manage these side effects effectively.

Radiation Therapy for Lung Metastasis

Radiation therapy involves the use of high-energy radiation to target and kill cancer cells. In the context of esophageal cancer with lung metastasis, radiation therapy can be used to shrink tumors in the lungs and alleviate symptoms such as pain and difficulty breathing. It may also be employed as a palliative treatment to improve the patient’s quality of life.

External beam radiation therapy is the most common form of radiation treatment for lung metastasis. It delivers precise, targeted doses of radiation to the tumor site, while minimizing damage to surrounding healthy tissues. This treatment approach is typically administered over multiple sessions, allowing the body time to recover between treatments.

Similar to chemotherapy, radiation therapy can have side effects, including fatigue, skin irritation, and inflammation of the esophagus or lungs. However, measures can be taken to manage these side effects and ensure patient comfort throughout the treatment course.

In some cases, a combination of chemotherapy and radiation therapy may be recommended, aiming to maximize treatment effectiveness and control the cancer’s spread. This decision is made based on individualized treatment plans tailored to each patient’s specific needs and characteristics of the cancer.

It’s important to note that while chemotherapy and radiation therapy can be effective in managing esophageal cancer with lung metastasis, they are not curative treatments. These therapies aim to slow down disease progression, relieve symptoms, and improve the patient’s quality of life. The response to treatment and overall prognosis will depend on various factors, including the extent of metastasis, the patient’s overall health, and the aggressiveness of the cancer.

Targeted Therapy for Esophageal Cancer with Lung Metastasis

When esophageal cancer spreads to the lungs, targeted therapy offers a personalized approach in managing the disease. Unlike traditional chemotherapy that attacks both healthy and cancerous cells, targeted therapy focuses on specific molecules or proteins that are vital for cancer growth and survival. By targeting these specific molecules, targeted therapy can disrupt the growth and spread of cancer cells, while minimizing damage to healthy tissues.

This type of therapy is especially beneficial for patients with esophageal cancer and lung metastasis because it allows for a more precise and effective treatment strategy. Targeted therapy drugs are designed to identify and attack cancer cells based on unique characteristics, such as specific gene mutations or protein markers, that are present in the tumor cells.

One example of targeted therapy used in the treatment of esophageal cancer with lung metastasis is the drug trastuzumab (Herceptin). Trastuzumab targets the HER2 protein, which is overexpressed in certain types of esophageal cancer. By blocking the activity of HER2, trastuzumab can slow down the growth and spread of cancer cells.

Benefits of Targeted Therapy for Lung Metastasis

  • Increased treatment effectiveness by directly targeting cancer cells
  • Reduced side effects compared to traditional chemotherapy
  • Personalized treatment based on specific genetic mutations or protein markers

Current Challenges and Future Outlook

While targeted therapy has shown promise in the treatment of esophageal cancer with lung metastasis, there are still challenges to overcome. Some patients may not have identifiable genetic mutations or protein markers that can be targeted by existing drugs, limiting the effectiveness of targeted therapy in these cases.

However, ongoing research and clinical trials are exploring new drugs and treatment approaches that may be effective for a broader range of patients. By identifying additional genetic mutations and protein markers, researchers hope to develop more targeted therapies that can improve outcomes for patients with esophageal cancer and lung metastasis.

In conclusion, targeted therapy provides a personalized treatment approach for patients with esophageal cancer that has spread to the lungs. By targeting specific molecules or proteins involved in cancer growth and survival, targeted therapy can offer increased treatment effectiveness with reduced side effects. While there are challenges to overcome, ongoing research holds the promise of further advancements in targeted therapy for esophageal cancer with lung metastasis.

Immunotherapy in the Treatment of Esophageal Cancer Spread to Lungs

In recent years, immunotherapy has emerged as an innovative treatment approach for various types of cancer, including esophageal cancer with lung metastasis. By harnessing the body’s immune system to target and destroy cancer cells, immunotherapy offers new hope for patients facing advanced stages of the disease.

Immunotherapy works by boosting the immune system’s ability to recognize and attack cancer cells. It does this by either stimulating the immune system directly or by removing the brakes that prevent a robust immune response against cancer. In the context of esophageal cancer spread to the lungs, immunotherapy has shown promising results in improving treatment outcomes and extending survival rates.

There are different types of immunotherapy approaches being used in the treatment of esophageal cancer with lung metastasis, such as immune checkpoint inhibitors and adoptive cell transfer therapies. Immune checkpoint inhibitors block proteins that limit the immune system’s ability to attack cancer cells, while adoptive cell transfer therapies involve genetically modifying a patient’s own immune cells to enhance their cancer-fighting abilities.

Benefits of Immunotherapy in Esophageal Cancer Treatment

Immunotherapy offers several potential benefits for patients with esophageal cancer that has spread to the lungs. These include:

  • Improved response rates: Immunotherapy can enhance the response rates to treatment, increasing the chance of tumor shrinkage and disease control.
  • Prolonged survival: Some patients treated with immunotherapy have experienced extended survival times, giving them more quality time with their loved ones.
  • Reduced side effects: Compared to traditional treatments like chemotherapy, immunotherapy often has fewer severe side effects, resulting in improved quality of life for patients.
  • Potential for long-term remission: In some cases, immunotherapy has led to long-term remission, where cancer remains undetectable even after treatment cessation.

However, it’s important to note that not all patients respond the same way to immunotherapy. The effectiveness of this treatment option can vary depending on individual factors, such as the patient’s overall health, specific cancer characteristics, and the immune system’s response to the treatment.

Comparative Analysis of Immunotherapy Treatment Options

Treatment Option Mode of Action Advantages Disadvantages
Immune Checkpoint Inhibitors Block proteins that inhibit the immune system’s response against cancer cells – Improved response rates
– Long-term remission potential
– Potential side effects
– Limited effectiveness in some patients
Adoptive Cell Transfer Therapies Genetically modify and enhance a patient’s immune cells for better cancer-fighting abilities – Potential for prolonged survival
– Reduced side effects
– Complex and expensive procedure
– Limited availability

It’s worth mentioning that immunotherapy is an evolving field, with ongoing research and clinical trials exploring new treatment approaches. Collaborating with healthcare professionals and participating in clinical trials can offer patients access to cutting-edge immunotherapy options that may further enhance treatment outcomes.

Overall, immunotherapy holds significant promise in the treatment of esophageal cancer with lung metastasis. While further research is needed to optimize its effectiveness and identify factors that influence treatment response, immunotherapy represents a valuable addition to the arsenal of available treatment options, providing hope and improved prognosis for patients facing advanced stages of the disease.

Prognosis for Esophageal Cancer with Lung Metastasis

Understanding the prognosis for patients with esophageal cancer that has spread to the lungs is crucial for providing realistic expectations. The survival rates, factors influencing prognosis, and potential long-term outcomes will be discussed in this section.

Prognostic Factors Survival Rates
Stage of esophageal cancer at diagnosis Varies based on stage (See Table 1)
Extent of lung metastasis Lower survival rates with widespread metastasis
Response to treatment Better response leading to improved prognosis
Patient’s overall health Generally, better health yields improved outcomes
Table 1: Survival Rates for Esophageal Cancer Lung Metastasis by Stage
Stage 5-Year Survival Rate
Stage I Approximately 30%
Stage II Approximately 20%
Stage III Approximately 10%
Stage IV Less than 5%

The prognosis for esophageal cancer with lung metastasis can vary depending on several factors. Early-stage diagnosis and localized lung metastasis generally yield better survival rates. However, advanced stages of the disease and widespread metastasis may result in significantly lower survival rates.

It is important to note that every case is unique, and survival rates are statistical estimates. Factors such as the patient’s response to treatment, overall health, and individual circumstances can significantly influence prognosis.

In addition to medical factors, emotional support, and access to palliative care play crucial roles in helping patients manage the challenges associated with esophageal cancer that has spread to the lungs.

Long-Term Outcomes

While the prognosis may seem daunting, advances in medical research and treatment options offer hope for improved long-term outcomes for patients with esophageal cancer and lung metastasis. Ongoing clinical trials and emerging therapies are continuously exploring more effective approaches to managing advanced stages of the disease.

By focusing on early detection, personalized treatment plans, and comprehensive supportive care, healthcare professionals strive to improve survival rates and enhance the quality of life for patients on their journey with esophageal cancer and lung metastasis.

Palliative Care and Supportive Measures for Esophageal Cancer Patients with Lung Metastasis

When esophageal cancer metastasizes to the lungs, the focus of treatment shifts from curative measures to palliative care and supportive strategies. Palliative care aims to improve the quality of life for patients, manage symptoms, and alleviate discomfort caused by the advanced stage of the disease.

Supportive measures play a crucial role in providing comprehensive care for individuals with esophageal cancer and lung metastasis. These measures encompass a multidisciplinary approach involving healthcare professionals, including oncologists, palliative care specialists, nurses, social workers, and psychologists. Together, they address the physical, emotional, and psychological needs of patients.

Some of the key components of palliative care and supportive measures include:

  • Pain management: Esophageal cancer metastasis to the lungs can cause pain and discomfort. Pain medication, such as opioids and nonsteroidal anti-inflammatory drugs (NSAIDs), may be prescribed to alleviate pain and improve the patient’s overall comfort.
  • Symptom control: Lung metastasis can give rise to symptoms such as coughing, shortness of breath, and fatigue. Supportive measures, such as oxygen therapy, respiratory treatments, and pulmonary rehabilitation, can help manage these symptoms and enhance the patient’s quality of life.
  • Nutritional support: Esophageal cancer can affect the ability to swallow and consume food. Nutritional counseling and intervention by dieticians can optimize the patient’s nutritional intake and prevent weight loss, malnutrition, and associated complications.
  • Psychological and emotional support: A cancer diagnosis and its progression can take a toll on a patient’s mental health. Psychological support, including counseling, support groups, and therapy, can help patients and their families cope with the emotional challenges of living with advanced esophageal cancer.
  • Advance care planning: Discussing and documenting preferences for end-of-life care can help patients and their families make important decisions regarding treatment options, resuscitation, and care in the event of clinical deterioration.

Incorporating palliative care and supportive measures into the treatment plan for esophageal cancer patients with lung metastasis is essential to ensure comprehensive, holistic care that addresses all aspects of the patient’s well-being.

Palliative Care and Supportive Measures for Esophageal Cancer Patients with Lung Metastasis Description
Pain management Prescription of pain medication, such as opioids and NSAIDs, to alleviate pain and improve patient comfort.
Symptom control Implementation of supportive measures like oxygen therapy, respiratory treatments, and pulmonary rehabilitation to manage symptoms like coughing, shortness of breath, and fatigue.
Nutritional support Provision of nutritional counseling and intervention by dieticians to optimize nutritional intake and prevent weight loss, malnutrition, and associated complications.
Psychological and emotional support Offering counseling, support groups, and therapy to help patients and their families cope with the emotional challenges of living with advanced esophageal cancer.
Advance care planning Facilitating discussions and documentation of preferences for end-of-life care, empowering patients to make decisions regarding treatment options and care in the event of clinical deterioration.

Clinical Trials and Emerging Therapies for Esophageal Cancer with Lung Metastasis

The field of esophageal cancer research is constantly evolving, with ongoing clinical trials and emerging therapies specifically focused on lung metastasis. These advancements hold great promise for improving treatment outcomes and patient survival rates.

Exploring Clinical Trials

Clinical trials are conducted to evaluate the safety and efficacy of new treatment approaches for esophageal cancer with lung metastasis. Through these trials, researchers work to identify innovative therapies that may offer improved outcomes compared to standard treatments.

Patients who participate in clinical trials not only gain access to potentially groundbreaking therapies but also contribute to the advancement of medical knowledge, ultimately benefiting future patients.

Some ongoing clinical trials for esophageal cancer with lung metastasis include:

  • A phase III trial comparing the efficacy of a novel targeted therapy with standard chemotherapy in patients with lung metastasis
  • A phase II trial assessing the effectiveness of immunotherapy in combination with radiation therapy for reducing lung metastasis in esophageal cancer patients
  • A phase I trial evaluating the safety and tolerability of a new experimental drug that targets specific molecular pathways involved in lung metastasis
Trial Name Objective Patient Population Status
Phase III Trial Comparing targeted therapy and chemotherapy Patients with esophageal cancer and lung metastasis Ongoing
Phase II Trial Assessing immunotherapy with radiation therapy Esophageal cancer patients with lung metastasis Enrollment underway
Phase I Trial Evaluating safety of experimental drug Patients with lung metastasis from esophageal cancer Not yet recruiting

Emerging Therapies

Besides clinical trials, several emerging therapies show promise for treating esophageal cancer with lung metastasis. These therapies, which are still being researched or undergoing early-stage trials, represent exciting new avenues for targeted treatment.

Emerging therapies for esophageal cancer with lung metastasis include:

  • Novel immunotherapies that enhance the body’s immune response against cancer cells
  • Precision medicine approaches that target specific genetic mutations driving lung metastasis
  • Combination therapies that combine multiple treatment modalities for a synergistic effect

While these emerging therapies require further study and validation, they offer hope for improved outcomes and prolonged survival for patients with esophageal cancer and lung metastasis.

Closing Thoughts

Clinical trials and emerging therapies are paving the way for innovative treatment options for esophageal cancer patients with lung metastasis. By participating in clinical trials, patients can access cutting-edge therapies, contribute to medical advancements, and potentially benefit from improved outcomes.

As research continues to progress, it is essential to stay informed about the latest developments in clinical trials and emerging therapies. Consultation with a healthcare provider experienced in treating esophageal cancer with lung metastasis can help patients explore potential participation in clinical trials and access emerging treatment options.

Lifestyle Modifications and Support Networks for Esophageal Cancer Patients

Beyond medical treatments, managing esophageal cancer requires a holistic approach that includes lifestyle modifications and support networks. These additional measures can have a significant impact on the overall well-being of patients, helping them cope with the challenges they face throughout their journey.

Lifestyle Modifications

Adopting certain lifestyle modifications can help improve the quality of life for esophageal cancer patients. These modifications may include:

  • Dietary changes: Working with a registered dietitian to develop a personalized nutrition plan that takes into account the patient’s specific needs and challenges, such as difficulty swallowing or maintaining a healthy weight.
  • Physical activity: Engaging in regular exercise, as appropriate for the patient’s condition, to promote overall strength, cardiovascular health, and mood.
  • Stress management: Employing stress reduction techniques such as meditation, yoga, or other relaxation practices to enhance emotional well-being.
  • Smoking cessation: Quitting smoking, if applicable, as smoking can worsen the symptoms and prognosis of esophageal cancer.

Support Networks

Esophageal cancer patients often benefit from the support of various networks, including:

  • Family and friends: Establishing a strong support system of loved ones who can provide emotional support, assistance with daily activities, and companionship throughout the treatment process.
  • Cancer support groups: Participating in support groups where patients can connect with others facing similar challenges, share experiences, and find a sense of community.
  • Online resources: Accessing reputable online platforms that offer information, forums, and resources specifically tailored to esophageal cancer patients.
  • Professional counseling: Seeking guidance from trained mental health professionals who specialize in cancer care to address emotional concerns and develop coping strategies.

By integrating lifestyle modifications and leveraging support networks, esophageal cancer patients can enhance their overall well-being and pursue a more active role in their treatment journey.

Lifestyle Modifications Support Networks
Dietary changes Family and friends
Physical activity Cancer support groups
Stress management Online resources
Smoking cessation Professional counseling

Coping with the Emotional and Psychological Impact of Esophageal Cancer Spread to Lungs

Receiving a diagnosis of esophageal cancer with lung metastasis can have a profound emotional impact on patients and their loved ones. Dealing with the physical symptoms and treatment can be overwhelming, and it is essential to address the psychological and emotional challenges that arise. Coping strategies and psychological support play a crucial role in navigating this difficult journey.

1. Seek Professional Counseling

Professional counseling can provide invaluable support and guidance in managing the emotional impact of esophageal cancer with lung metastasis. A qualified therapist or counselor can help patients and their families process their feelings, explore coping mechanisms, and develop healthy strategies for emotional well-being.

2. Join Support Groups

Connecting with others who are going through similar experiences can foster a sense of community and understanding. Joining support groups for patients with esophageal cancer and lung metastasis can provide a safe space to share emotions, gain insights from others, and learn coping strategies from those who have faced similar challenges.

3. Practice Self-Care

Prioritizing self-care is crucial for managing the emotional toll of cancer. Engaging in activities that bring joy and relaxation can help reduce stress levels and promote emotional well-being. Whether it’s practicing mindfulness, engaging in hobbies, or spending time in nature, taking time for oneself is essential for mental and emotional health.

4. Communicate with Loved Ones

Open and honest communication with loved ones can provide much-needed emotional support. Sharing fears, concerns, and hopes with trusted family members and friends can alleviate feelings of loneliness and foster a sense of connection. Having a support network can make a significant difference in managing the emotional impact of the disease.

5. Educate Yourself

Gaining knowledge and understanding about esophageal cancer and its management can help reduce anxiety and provide a sense of control. Stay informed about the disease, treatment options, and the latest research findings. However, it is important to balance information-seeking with self-care and avoid overwhelming oneself with excessive research.

6. Engage in Relaxation Techniques

Practicing relaxation techniques, such as deep breathing exercises, meditation, or yoga, can help reduce stress and promote emotional well-being. These techniques can provide a sense of calm and improve overall mental resilience when facing the challenges of esophageal cancer with lung metastasis.

7. Explore Online Resources

There are numerous online resources available for patients and families affected by esophageal cancer. Websites, forums, and support groups specifically dedicated to esophageal cancer with lung metastasis can offer information, emotional support, and a platform for connecting with others facing similar circumstances.

8. Lean on Healthcare Professionals

Don’t hesitate to reach out to healthcare professionals for emotional support. Oncologists, nurses, and other members of the healthcare team are experienced in caring for patients with esophageal cancer and can provide guidance, resources, and referrals to appropriate support services.

9. Take Advantage of Palliative Care

Palliative care focuses on improving the quality of life for patients with serious illnesses like esophageal cancer. Palliative care teams can provide specialized support for managing pain, controlling symptoms, and addressing emotional and psychological needs. They work in conjunction with the primary treatment team to enhance overall well-being.

10. Stay Hopeful

While coping with the emotional impact of esophageal cancer with lung metastasis can be challenging, it is important to maintain hope and a positive outlook. Progress in medical research and advancements in treatment options offer hope for improved outcomes and increased survival rates.

Coping Strategies Benefits
Seeking professional counseling Guidance and support from a trained therapist or counselor
Joining support groups Connection and understanding from others facing similar circumstances
Practicing self-care Reduced stress levels and enhanced emotional well-being
Communicating with loved ones Emotional support and a sense of connection
Educating oneself Reduced anxiety and increased sense of control
Engaging in relaxation techniques Reduced stress and improved mental resilience
Exploring online resources Access to information, support, and connections with others
Leaning on healthcare professionals Guidance, resources, and support from experienced professionals
Utilizing palliative care Specialized support for pain and symptom management
Maintaining hope Positive outlook and belief in advancements in treatment

Navigating the Journey: Tips for Patients with Esophageal Cancer Spread to Lungs

When facing the complex journey of esophageal cancer with lung metastasis, patients need practical guidance to navigate the challenges ahead. In this section, we provide valuable tips and advice to help patients effectively manage their condition, prioritize self-care, communicate with healthcare providers, and become advocates for their own well-being. By empowering patients with knowledge and strategies, we strive to improve their overall experience and outcomes.

Self-Care Strategies

  • Physical well-being: Engage in regular exercise, eat a balanced diet, and get adequate rest to support your body’s strength and resilience. Prioritize activities that bring you joy and help reduce stress.
  • Psychological well-being: Seek emotional support from trusted loved ones or join support groups where you can share your experiences. Consider relaxation techniques, such as meditation or yoga, to promote mental well-being.
  • Managing side effects: Stay informed about common side effects of treatment and work closely with your healthcare team to proactively manage them. Follow medication schedules and report any unusual symptoms promptly.

Effective Communication with Healthcare Providers

  1. Building a trusted relationship: Establish open and honest communication with your healthcare team. Share your concerns, questions, and goals to ensure collaborative decision-making and personalized care.
  2. Preparing for appointments: Before each medical appointment, write down any questions or symptoms you want to discuss with your healthcare provider. Keep a record of your medications and treatment history for easy reference.
  3. Seeking clarity: If you don’t understand a medical term or need further clarification about your diagnosis or treatment plan, ask your healthcare provider for simple explanations. Request written materials or reliable online resources to supplement your understanding.

Becoming an Advocate

As a patient with esophageal cancer and lung metastasis, you have the right to advocate for your needs and access the best possible care. Consider the following tips to become a proactive advocate for your own well-being:

  • Seek second opinions: Don’t hesitate to consult with additional specialists to explore different perspectives and treatment options. Second opinions can provide invaluable insights and help you make informed decisions.
  • Stay informed about clinical trials: Keep abreast of ongoing clinical trials and emerging therapies that may offer new possibilities for your condition. Discuss potential trial participation with your healthcare provider.
  • Connect with support networks: Reach out to patient advocacy organizations and online forums dedicated to esophageal cancer and lung metastasis. Connecting with others facing similar challenges can provide emotional support, shared experiences, and valuable resources.
Support Resources Contact Information
Esophageal Cancer Awareness Association www.ecaware.org
The Esophageal Cancer Education Foundation www.fightec.org
Esophageal Cancer Action Network www.ecan.org

By adopting self-care strategies, improving communication with healthcare providers, and becoming an advocate, patients with esophageal cancer spread to the lungs can navigate their journey more confidently. Remember, you are not alone, and there are resources available to support you every step of the way.

Conclusion

In conclusion, the spread of esophageal cancer to the lungs, known as lung metastasis, poses significant challenges for patients. Early detection is crucial for improving outcomes and providing timely intervention. Recognizing the signs and symptoms of lung metastasis is essential in order to initiate diagnostic tests and confirm the spread of cancer to the lungs.

There are various treatment options available for esophageal cancer patients with lung metastasis. These include surgery, chemotherapy, radiation therapy, targeted therapy, and immunotherapy. The choice of treatment depends on individual factors, such as the extent of metastasis and the patient’s overall health.

Furthermore, supportive measures, including palliative care and lifestyle modifications, are vital in enhancing the patients’ quality of life and managing symptoms. Clinical trials and emerging therapies offer hope for future treatment options, emphasizing the importance of ongoing research in this field. Overall, a multidisciplinary approach involving medical professionals, support networks, and personalized care is crucial to optimize outcomes for patients with esophageal cancer spread to the lungs.

FAQ

What are the symptoms of esophageal cancer spreading to the lungs?

Symptoms of esophageal cancer spreading to the lungs may include coughing up blood, difficulty breathing, chest pain, persistent cough, and fatigue.

How is lung metastasis from esophageal cancer diagnosed?

Diagnostic tests such as imaging tests (CT scan, MRI, PET scan) and biopsies are commonly used to identify lung metastasis from esophageal cancer.

What are the available treatment options for esophageal cancer that has spread to the lungs?

Treatment options for esophageal cancer with lung metastasis may include surgery, chemotherapy, radiation therapy, targeted therapy, and immunotherapy.

Can lung metastasis from esophageal cancer be surgically removed?

In some cases, surgical intervention may be an option to remove lung metastases caused by esophageal cancer. Different surgical approaches and techniques may be employed.

How can chemotherapy and radiation therapy help manage esophageal cancer with lung metastasis?

Chemotherapy and radiation therapy can help control the growth of cancer cells in the lungs, alleviate symptoms, and improve overall outcomes for patients with lung metastasis from esophageal cancer.

What is targeted therapy, and how is it used in treating esophageal cancer with lung metastasis?

Targeted therapy is a personalized treatment approach that targets specific genes or proteins involved in cancer cell growth. It can be used to manage lung metastasis in patients with esophageal cancer.

Can immunotherapy be used in the treatment of esophageal cancer spread to the lungs?

Yes, immunotherapy has shown promise as a treatment option for esophageal cancer with lung metastasis. It helps to stimulate the immune system to recognize and destroy cancer cells.

What is the prognosis for esophageal cancer patients with lung metastasis?

The prognosis for patients with esophageal cancer that has spread to the lungs can vary depending on various factors. Survival rates and long-term outcomes are influenced by the extent of metastasis and individual patient characteristics.

What is palliative care, and how does it benefit esophageal cancer patients with lung metastasis?

Palliative care focuses on improving the quality of life and providing support for patients with advanced cancer, including those with esophageal cancer and lung metastasis. It helps manage symptoms and provides emotional and practical support.

Are there any clinical trials or emerging therapies specifically for esophageal cancer with lung metastasis?

Yes, ongoing clinical trials and emerging therapies are being investigated for the treatment of lung metastasis in patients with esophageal cancer. These trials explore potential future treatment options.

What lifestyle modifications and support networks can benefit esophageal cancer patients?

Certain lifestyle modifications, such as maintaining a healthy diet and engaging in regular exercise, can help support the overall well-being of esophageal cancer patients. Additionally, joining support networks and seeking emotional support can provide valuable resources and guidance.

How can esophageal cancer patients cope with the emotional impact of lung metastasis?

Coping strategies, psychological support, and available resources can help esophageal cancer patients and their loved ones navigate the emotional impact of a lung metastasis diagnosis. Supportive care services and counseling can provide the necessary support.

What tips and advice can help esophageal cancer patients with lung metastasis?

Tips and advice for patients with esophageal cancer and lung metastasis include practicing self-care, maintaining open communication with healthcare providers, and advocating for one’s needs. These strategies can help individuals navigate their cancer journey more effectively.

Stage 4 Lung Cancer Life Expectancy Without Treatment

Stagescancer.net – If you or a loved one has been diagnosed with stage 4 lung cancer, you may be wondering about life expectancy without treatment. Unfortunately, the prognosis for individuals with stage 4 lung cancer who do not receive treatment is not optimistic. In this section, we will discuss the life expectancy and potential outcomes for those with stage 4 lung cancer who choose not to pursue conventional treatment.

While the statistics may seem daunting, it is important to remember that each person’s journey with cancer is unique. Various factors can impact the outcome, and there are still options available to manage symptoms and improve quality of life. Let’s explore the topic of stage 4 lung cancer life expectancy without treatment together.

Understanding Stage 4 Lung Cancer

Stage 4 lung cancer is an advanced form of lung cancer that has spread to other parts of the body. It is also known as metastatic cancer and is considered the most advanced stage of the disease. At this stage, the cancer has typically spread to distant organs such as the liver, brain, or bones.

The symptoms of stage 4 lung cancer can vary depending on the location and extent of the spread. Common symptoms may include shortness of breath, persistent cough, fatigue, weight loss, and chest pain. The spread of cancer cells may also cause other symptoms such as headaches, seizures, or bone pain.

Unlike earlier stages of lung cancer, stage 4 lung cancer is typically not curable. However, treatment options are available to help manage symptoms, slow down the spread of the disease, and improve overall quality of life. In some cases, individuals with stage 4 lung cancer may choose not to undergo treatment and opt for palliative care instead.

Characteristics of Stage 4 Lung Cancer

Characteristic Description
Tumor Size The tumor can be any size and may have spread to nearby structures or organs.
Lymph Node Involvement Cancer cells may have spread to lymph nodes in the chest or around the collarbone area.
Metastasis Cancer cells have spread to other parts of the body such as the liver, brain, or bones.

Individuals at risk of developing lung cancer need to undergo regular screenings and seek medical attention if they experience any symptoms. Early detection can help increase the chances of successful treatment and improve overall outcomes.

Factors Affecting Life Expectancy

While the decision not to undergo treatment for stage 4 lung cancer can significantly impact life expectancy, several factors can further affect outcomes.

Factor Description
Age Older individuals tend to have a lower life expectancy than younger ones due to weaker immune systems and a higher risk of age-related conditions.
Overall Health Poor general health and pre-existing medical conditions can worsen prognosis and increase the risk of complications.
Cancer Type Some types of lung cancer, such as small-cell lung carcinoma, are more aggressive and tend to spread faster than others.
Tumor Size and Spread In general, larger tumors that have spread to organs and lymph nodes reduce life expectancy.
Smoking History Long-term smoking can weaken the immune system and increase the risk of complications, further reducing life expectancy.

It’s important to remember that every case is different, and multiple factors can influence individual outcomes. Consulting with healthcare providers and creating a personalized care plan can help individuals make informed decisions about their health and maximize their quality of life.

Life Expectancy Statistics

Individuals with stage 4 lung cancer who decide not to undergo treatment may have a shorter life expectancy compared to those who choose traditional cancer treatments. According to stage 4 lung cancer life expectancy statistics, the median survival time for those who do not receive treatment is around four months from the time of diagnosis.

However, it’s essential to note that life expectancy can vary based on several factors, such as age, overall health, smoking history, and cancer type. For instance, individuals with non-small cell lung cancer may have a slightly longer life expectancy compared to those with small cell lung cancer.

Factor Impact on Life Expectancy
Age Older individuals may have a shorter life expectancy
Overall Health Individuals with underlying health conditions may have a reduced life expectancy
Smoking History Individuals who have smoked for a prolonged period may have a shorter life expectancy
Cancer Type The type of lung cancer can impact life expectancy

It’s crucial to seek the guidance of a healthcare professional to determine the most accurate prediction of life expectancy and discuss available options for compassionate care.

Palliative Care for Stage 4 Lung Cancer

For individuals with stage 4 lung cancer without treatment, palliative care can play a critical role in helping them manage symptoms and improve their quality of life. Palliative care is an approach that focuses on providing comprehensive support to individuals with serious illnesses and their families, to reduce stress and improve overall well-being.

The palliative care team may include doctors, nurses, social workers, and other healthcare professionals who work together to address physical, emotional, and practical needs. They can help manage pain and other symptoms, provide emotional support and counseling, and assist with end-of-life planning.

Palliative Care Options

There are several different types of palliative care options available for individuals with stage 4 lung cancer without treatment:

  • Hospice care: This is a form of palliative care that is specifically designed for individuals who are nearing the end of life. Hospice care can be provided in the home, in a hospice facility, or a hospital.
  • Home health care: This type of care is designed to help individuals manage symptoms and receive support in the comfort of their own homes.
  • Inpatient palliative care: This type of care is provided in a hospital or other healthcare facility and is designed to help manage severe symptoms and provide emotional support.

Benefits of Palliative Care

Palliative care can offer several benefits to individuals with stage 4 lung cancer without treatment:

  • Improved quality of life
  • Better symptom management
  • Emotional support and counseling
  • Assistance with end-of-life planning
  • Greater peace of mind for both the individual and their family members

Overall, palliative care can help individuals with stage 4 lung cancer without treatment live as fully and comfortably as possible, with dignity and respect.

Alternative Therapies and Their Impact

For individuals with stage 4 lung cancer who choose not to undergo conventional treatment, alternative therapies and complementary treatments may offer a ray of hope. These therapies, which encompass a wide range of approaches such as herbal medicine, acupuncture, and meditation, can potentially help manage symptoms and improve quality of life.

Potential Benefits

Alternative therapies have been shown to offer a variety of benefits for individuals with cancer, including:

  • Reduced stress and anxiety
  • Improved mood and mental state
  • Relief from pain and discomfort
  • Increased energy and vitality

While these benefits can undoubtedly improve quality of life, it’s important to note that alternative therapies are not a substitute for conventional medical treatment.

Possible Drawbacks

While alternative therapies may have potential benefits, they can also have drawbacks, such as:

  • Lack of scientific evidence to support effectiveness
  • Possible interaction with conventional treatments
  • Risk of side effects or adverse reactions
  • Financial strain

Before pursuing alternative therapies, it’s essential to discuss the potential risks and benefits with a healthcare provider.

Limitations

Alternative therapies are not a cure for lung cancer, and it’s important to understand their limitations. They should be approached as complementary treatments that can help manage symptoms and improve quality of life, not as a substitute for conventional medical treatment that addresses the cancer itself.

Individuals with stage 4 lung cancer who are interested in alternative therapies should consider consulting with a licensed practitioner and verifying their credentials. Conducting thorough research and discussing options with a healthcare provider can help individuals make informed decisions about their care and potentially improve their quality of life.

While alternative therapies require more research, they offer a potentially promising solution for individuals with stage 4 lung cancer without conventional treatment.

Lifestyle Modifications

When diagnosed with stage 4 lung cancer, lifestyle modifications can have a significant impact on overall well-being and quality of life. Focusing on a healthy, balanced diet rich in nutrients can help boost the immune system and improve energy levels. Incorporating regular exercise into the daily routine can also enhance physical and mental health.

Stress management techniques, such as meditation or deep breathing exercises, can help reduce anxiety and promote relaxation. Adequate sleep and rest are also essential for supporting the body’s natural healing processes.

Additionally, reducing exposure to harmful substances, such as tobacco smoke and environmental pollutants, can help reduce the risk of further damage to the lungs. By adopting these lifestyle modifications, individuals with stage 4 lung cancer can take a proactive approach to their health and potentially improve their overall quality of life.

Emotional Support and Counseling

Dealing with stage 4 lung cancer without treatment can be an emotionally challenging experience. Emotional support and counseling can play a critical role in helping individuals cope with their diagnosis, manage stress and anxiety, and find hope and meaning in life.

Talking to a therapist or joining a support group can provide a much-needed outlet for expressing emotions and finding support and understanding from others who are going through similar experiences. Additionally, counseling services can help individuals manage symptoms such as pain, fatigue, and insomnia, and improve their overall quality of life.

There are a variety of emotional support resources available, both in-person and online. Some options include:

  • Support groups, which allow individuals to connect with others who have lung cancer and share experiences and advice
  • Counseling services, can provide one-on-one counseling sessions to help individuals manage their emotions and improve their coping strategies
  • Online communities, can provide a platform for individuals to connect with others and share information and experiences

It is important to remember that seeking emotional support and counseling is not a sign of weakness, but rather a proactive step towards managing the emotional challenges of living with stage 4 lung cancer without treatment.

Creating a Supportive Care Plan

If you have been diagnosed with stage 4 lung cancer and have opted not to undergo treatment, creating a supportive care plan is an important step in managing your symptoms and maintaining a good quality of life. Here are some tips and resources to guide you through the process:

Identify Your Needs

The first step in creating a supportive care plan is to identify your needs. This includes physical, emotional, and practical needs. Think about the symptoms you are experiencing and what support you need to manage them. Consider your daily routine and how you can adjust it to better suit your needs. You may also want to explore emotional support options, such as counseling or joining a support group.

Consult with Healthcare Providers

Consulting with healthcare providers can help you better understand your condition and identify potential complications. They can help you create a care plan that is tailored to your specific needs. Make sure to ask questions and share any concerns you may have.

Consider Palliative Care

Palliative care is a type of care that focuses on improving the quality of life for individuals with serious illnesses. It can help manage symptoms and ease pain and discomfort. Consider exploring palliative care options in your area to see if they may be helpful for you.

Explore Additional Resources

There are many resources available to individuals with stage 4 lung cancer who are not pursuing treatment. These may include financial assistance programs, transportation services, and more. Reach out to local organizations and support groups to explore what options may be available to you.

Stay Organized

Creating a care plan can involve a lot of information and details. Make sure to stay organized by keeping all relevant information in one place, such as a notebook or folder. This can help you stay on top of appointments and treatments.

Remember Compassionate Care

It’s important to remember that compassionate care is not just about managing symptoms, but about supporting the whole person. This includes emotional support, spiritual care, and more. Don’t be afraid to reach out to loved ones, healthcare providers, or other support resources for help.

Making Informed Decisions

When it comes to stage 4 lung cancer, making treatment decisions can be overwhelming. It’s important to gather information and seek second opinions to make an informed decision that aligns with your values and preferences.

Start by researching different treatment options. Talk to your healthcare provider about the benefits, risks, and potential side effects of each option. Consider the stage of your cancer, your overall health, and your quality of life when deciding which treatment is right for you.

Factors to Consider

Before making any decisions, it’s important to consider the following factors:

  • The stage of your cancer
  • Your overall health
  • Your values and preferences
  • The benefits and risks of each treatment option

Consider discussing your options with friends, family, and healthcare professionals to get a well-rounded perspective on your decision-making process. Seeking a second opinion from another healthcare provider can also provide additional insights you might not have considered.

Choosing Palliative Care

If you decide not to pursue treatment, palliative care can be an important and compassionate option to consider. Palliative care focuses on providing relief from symptoms and improving quality of life. It can help with pain management, emotional support, and spiritual care.

Your healthcare provider can help you identify palliative care options that align with your values and needs.

Communication and Support Network

Dealing with a stage 4 lung cancer diagnosis without treatment can be emotionally challenging. However, having a supportive network of healthcare providers, loved ones, and friends can make a significant difference in your overall quality of life. Effective communication is essential in maintaining these relationships and building a strong support system.

To improve communication with healthcare providers, it is crucial to ask questions and express your concerns openly. Seek clarification regarding treatment options, potential side effects, and any other doubts you may have. Keeping a journal can also help to organize your thoughts and track symptoms, making it easier to communicate with healthcare professionals.

Connecting with support groups and other patients with stage 4 lung cancer can provide emotional support and a sense of community. Organizations like the American Cancer Society (ACS) and the Lung Cancer Foundation of America offer a variety of resources and programs, including online communities, support groups, and helplines that can connect you with people who understand what you are going through.

Overall, building and maintaining a strong support network is crucial to ensure you have access to emotional and physical support throughout the journey. Effective communication with healthcare providers, loved ones, and support networks is key to managing symptoms and improving quality of life.

Finding Hope and Meaning

Receiving a stage 4 lung cancer diagnosis without treatment can be devastating and overwhelming. However, it is crucial to remember that there is still hope and meaning to be found in life.

One way to find hope is to focus on the present moment. Try to savor the little things in life, such as spending time with loved ones or enjoying a favorite hobby. Practicing mindfulness and gratitude can also help shift your focus towards the positive aspects of life.

Another way to find hope is to stay informed and up-to-date on the latest research and treatments for stage 4 lung cancer. Connect with support groups and organizations that provide resources and information on breakthroughs.

Finding meaning in life with a stage 4 lung cancer diagnosis can be challenging, but it is possible. One way to find meaning is to identify your values and priorities. This can help guide your decisions and actions towards a more fulfilling life.

Engaging in activities that align with your values can also bring a sense of purpose and meaning. This can include volunteering, pursuing a passion project, or helping others in need.

Remember that everyone’s journey is unique, and finding hope and meaning may look different for each individual. As you navigate this difficult time, be kind to yourself and do what feels right for you.

By practicing self-care, seeking support, and focusing on the present moment, you can find hope and meaning in life despite a stage 4 lung cancer diagnosis without treatment.

Keywords: finding hope with stage 4 lung cancer, finding meaning in life

FAQ

What is the life expectancy for individuals with stage 4 lung cancer who do not receive treatment?

The life expectancy for individuals with stage 4 lung cancer who do not receive treatment can vary. It is important to note that without treatment, the prognosis is generally poor, and the average life expectancy is shorter compared to those who undergo treatment. Factors such as overall health, age, and specific characteristics of the cancer can also influence life expectancy.

What is stage 4 lung cancer?

Stage 4 lung cancer is the most advanced stage of the disease. It means that the cancer has spread to distant organs or tissues beyond the lungs. At this stage, the cancer is considered to be metastatic, and treatment options may be limited.

What factors can affect the life expectancy of individuals with stage 4 lung cancer?

Several factors can influence the life expectancy of individuals with stage 4 lung cancer who do not receive treatment. These factors include age, overall health, the specific type and characteristics of the cancer, the presence of other medical conditions, and the overall response of the individual’s immune system.

Are there any statistics available regarding the life expectancy of individuals with stage 4 lung cancer who choose not to pursue treatment?

Yes, there are life expectancy statistics available for individuals with stage 4 lung cancer who do not receive treatment. These statistics may include survival rates, median life expectancy, and other relevant figures. However, it is important to remember that each individual’s situation is unique, and these statistics should be interpreted with caution.

What is palliative care, and how can it help individuals with stage 4 lung cancer?

Palliative care is a specialized form of medical care that focuses on providing relief from the symptoms and stress associated with serious illnesses, such as stage 4 lung cancer. It aims to improve the quality of life for patients and their families by addressing physical, emotional, and spiritual needs. Palliative care can help manage symptoms, offer emotional support, and assist with decisions related to care and treatment options.

Are there alternative therapies that can be beneficial for individuals with stage 4 lung cancer who choose not to pursue conventional treatment?

Some individuals with stage 4 lung cancer explore alternative therapies and complementary treatments as part of their care. However, it is important to note that these approaches are not proven to cure cancer or replace standard medical treatments. It is advisable to consult with healthcare professionals and discuss the potential benefits, drawbacks, and limitations of alternative therapies before incorporating them into a care plan.

Can lifestyle modifications have an impact on the well-being of individuals with stage 4 lung cancer?

Yes, lifestyle modifications can potentially improve the overall well-being and quality of life for individuals with stage 4 lung cancer. Recommendations may include adopting a nutritious diet, engaging in regular physical activity, managing stress levels, getting enough rest, and avoiding harmful habits such as smoking. It is advisable to consult with healthcare professionals for personalized guidance.

How important is emotional support and counseling for individuals with stage 4 lung cancer?

Emotional support and counseling play a crucial role in addressing the emotional and psychological needs of individuals with stage 4 lung cancer. Dealing with a diagnosis of advanced cancer can be emotionally overwhelming, and having access to support groups, therapy, and counseling services can provide a valuable outlet for expressing feelings, coping with stress, and finding solace.

How can individuals with stage 4 lung cancer create a supportive care plan?

Creating a supportive care plan involves identifying individual needs, preferences, and goals. It may include coordinating with healthcare providers and exploring available resources such as palliative care services, hospice care, and other support programs. Supportive care plans can help address physical, emotional, and practical needs, ensuring that individuals receive comprehensive care and support throughout their journey.

How can individuals with stage 4 lung cancer make informed decisions about treatment options?

Making informed decisions about treatment options involves gathering information, seeking second opinions, and considering personal values and preferences. It is important to engage in open and honest communication with healthcare providers, ask questions, and explore all available options to make decisions that align with individual goals, values, and circumstances.

How can individuals with stage 4 lung cancer build an effective support network?

Building an effective support network involves maintaining open and effective communication with healthcare providers, loved ones, and other individuals who can provide emotional support. Joining support groups, connecting with organizations that specialize in cancer support, and reaching out to friends and family can all contribute to creating a strong support system.

How can individuals find hope and meaning in life despite a stage 4 lung cancer diagnosis without treatment?

Finding hope and meaning in life despite a stage 4 lung cancer diagnosis without treatment can be challenging, but it is possible. Strategies such as practicing gratitude, staying connected with loved ones, engaging in activities that bring joy and fulfillment, and seeking professional support can help individuals cultivate a positive mindset and embrace a fulfilling and meaningful life.